EN
FR AR

AI Portfolio

Hckonnect

Deepdx® prostate

Pathology diagnosis assistance software

Hckonnect

Conformity Certifications

MFDS
FDA
PMDA
TFDA
CE
TGA
HSA
ANVISA
HC

Automated Nodule Detection and Lung-RADS Calculation

Detecting and Analyzing Easy to miss Lung Nodules on Low-Dose Chest CT with Imaging Artificial Intelligence.

Efficiently diagnose with awareness of patient conditions. Finding microscopic nodules provides a variety of information, including basic, number of nodules, size and status, and RADS category. Findings that are likely to develop into lung cancer can also be checked in advance, reducing working time and allowing efficient reading depending on the case. Microscopic Nodule Detection: Providing Comprehensive Information on Number of Nodules, Size, Status, and RADS Category Early Detection of Potential Lung Cancer Development Enables Time-efficient Scans Reading.

Detecting Nodules of Various Sizes, from Small to Large

Automated Nodule Detection and Lung-RADS Calculation

Detecting and Analyzing Easy to miss Lung Nodules on Low-Dose Chest CT with Imaging Artificial Intelligence.

Efficiently diagnose with awareness of patient conditions. Finding microscopic nodules provides a variety of information, including basic, number of nodules, size and status, and RADS category. Findings that are likely to develop into lung cancer can also be checked in advance, reducing working time and allowing efficient reading depending on the case. Microscopic Nodule Detection: Providing Comprehensive Information on Number of Nodules, Size, Status, and RADS Category Early Detection of Potential Lung Cancer Development Enables Time-efficient Scans Reading.

Delivering Comprehensive Analysis Results

Automatically Analyze Lung Cancer Screening Results and Generate Comprehensive Reports.

Automate Tedious manual Tasks to Save Time.

Reading report

Effortless Generation of Lung Cancer Screening Results for Patient Records and Official Reports.

Patient Reports and insurance reimbursement reports

Automatically generated reports with detail assist patients understand examination results.

Validations

Clinically Proven: AI Medical Technology Saves Time and Enhances Reading Accuracy.

-70 %

Time Saving

+34 %

Sensitivity

-42 %

False positivity rate

-86.7 %

Reduce Workload

1
2
3

https://dailybulletin.rsna.org/db22/index.cfm?pg=22fri07

4

Lancaster HL, Zheng S, Aleshina OO, Yu D, Yu Chernina V, Heuvelmans MA, de Bock GH, Dorrius MD, Willem Gratama J, Morozov SP, Gombolevskiy VA, Silva M, Yi J, Oudkerk M. Outstanding negative prediction performance of solid pulmonary nodule volume AI for ultra-LDCT baseline lung cancer screening risk stratification. Lung Cancer. 2022 Jan 6;165:133-140

Publications

Outstanding negative prediction performance of solid pulmonary nodule volume AI for ultra-LDCT baseline lung cancer screening risk stratification.
https://id.elsevier.com/as/authorization.oauth2/html

Feasibility of implementing a national lung cancer screening program: Interim results from the Korean Lung Cancer Screening Project (K-LUCAS)
https://tlcr.amegroups.org/article/view/49486/html

Dr. Aurelien Lambert

Radiologist, Im2p, France

BoneMetrics is a game-changing solution that streamlines the process of measuring bones efficiently and accurately, allowing our center to save time, improve workflow, and make a better report for clinicians.

Dr. Aurelien Lambert

Radiologist, Im2p, France

BoneMetrics is a game-changing solution that streamlines the process of measuring bones efficiently and accurately, allowing our center to save time, improve workflow, and make a better report for clinicians.

Dr. Aurelien Lambert

Radiologist, Im2p, France

BoneMetrics is a game-changing solution that streamlines the process of measuring bones efficiently and accurately, allowing our center to save time, improve workflow, and make a better report for clinicians.

1/3

BoneView: Clinical AI for advanced x-ray interpretation

BoneView represents Gleamers first application in the clinical AI domain. It has evolved into a global standard for the interpretation of X-ray images in cases of bone injuries, and is appreciated for its scientific excellence.

This AI application efficiently identifies fractures, effusions, dislocations, and bone lesions.

Recognized for its scientific rigor through publications in top-tier, peer- reviewed journals, its clinical study was honored with the prestigious Alexander Margulis Award 2022 for scientific excellence.

Improve reporting
consistency

Reduce unnecessary MRIs
using GIRFT principles

Inform trial
decisions

Case study

How RBknee™ is bringing value: Bispebjerg Hospital, Denmark

Results of study

1 in 5

Patient-centred workflow Enables same day diagnostics for patients

17.7%

Reducing unnecessary MRI examinations Only offering MRIs to the patients who will benefit the most

2.5%

Increased Standardisation
Unified pathway for patients with knee osteoarthritis

AI Algorithms and Results

At the core of BrainScan CT are sophisticated AI algorithms, adept at scanning, identifying, and pinpointing potential pathological changes within the brain.

The comprehensive analysis results are provided in dual formats: visually engaging infographics and detailed structured text, all returned to the originating PACS server. This dual-format approach ensures thoroughness and clarity in the diagnostic process.

Benefits of Integrating b-rayZ in your workflow

Time Improvement

Streamlining the breast imaging workflow – saves time on operational tasks and communications.

Overall efficiency

Standardizes procedures in mammography and breast ultrasound, compatible across all mammography vendors – enhances overall efficiency.

Cost Saving

Automates the creation of audit-ready documentation in mammography – reduces costs associated with regulatory compliance and reporting.

Reduction of misdiagnosis

Decreases the rate of misdiagnosis through real-time quality assurance in mammography and by stratifying high-risk patients.

Quality Improvement

Enhances quality performance using B-Rayz's advanced technology-driven learning platform.

Additional Features

Provides SUVR quantification report of various PET tracers observed in PET images.

SUVR Analysis

Compatible with various
Tracers

Analysis Report

Inter-operation with
PACS

DeepDx® Prostate can be used in a variety of use settings including first read, concurrent read, quality control, research and development, and education.

Benefits

Reduce Patient Recalls

Acquiring the appropriate image during the initial examination accelerates and optimizes the diagnostic process, as the radiologist possesses the necessary information to complete their assessment without the need to recall the patient for additional imaging.

Radiographers Decision Support

Smart Protocol offers real-time decision support to radiographers, helping them make informed decisions about additional imaging or other procedural adjustments limiting unnecessary interruption of radiologists throughout the imaging process.

Scan Time / Protocol Optimization

Smart Protocol optimizes scan time by adding only necessary sequences when critical conditions are detected. These dynamic adjustments ensure comprehensive diagnostics while improving efficiency

Improved Patient Journey

Tailored protocols based on individual patient data lead to personalized and more effective diagnostic patient journeys

Patient Satisfaction

Minimizing the need for multiple visits for diagnostics improves patient convenience and satisfaction. Acquiring the right number of sequences helps reduce patient discomfort due to lengthy exams.

Additional Features

Complete Automatic Brain Segmentation

Automatically segments the brain in MRI, providing quantitative measures of brain volume and white matter hyperintensities.
Customized analysis reports for users.

Fully automated brain
segmentation

Atrophy pattern analysis
by brain region

Brain atrophy percentile
analysis

White Matter
Hyperintensities analysis

Automated inter-operation
with PACS

Custom report

Global Lung Cancer Screening Initiatives

LCS Plus is a trusted solution in global lung cancer screening projects.

Hckonnect

K-Lucas

  • Primary AI solution in South Korea's K-Lucas project
  • Serving as the sole AI provider for seven consecutive years
  • Screening 200,000 high-risk individuals annually
  • Comprehensive Cloud-based Quality Management Service
Hckonnect

HANSE

  • In Germany's HANSE project, it's used in three hospitals across two states
  • Hannover Medical School
  • University Medical Center Schleswig-Holstein
  • LungenClinic Grosshansdorf
  • Two-Year Lung Cancer Screening for 5,000 Individuals
Hckonnect

ILSP

  • The ILSP project in Italy involves 18 hospitals in 18 states.
  • Two-Year Lung Cancer Screening for 5,000 Individuals
Hckonnect

4-In-The-Lung-Run

  • The 4-In-The-Lung-Run project spans five European countries
  • the Netherlands, Germany, Spain, Italy, and France
  • Screening 26,000 individuals over four years.

Analysis of Patterns in Interstitial Lung Disease

The use of advanced algorithms enables the automated analysis of the locations and distribution of the six recognized patterns associated with ILD.

By standardizing the analyses and minimizing variations in interpretation, this solution ensures accurate and reliable results.

Hckonnect
Hckonnect
Hckonnect
Hckonnect
Hckonnect
Hckonnect

Analysis Precision and Dependability

The product improves inter- and intra-operator consistency in reporting and grading by identifying and classifying the following organisms:

  • Gram positive bacilli
  • Lactobacillus
  • Corynebacteria
  • Gram negative bacilli
  • Gram positive cocci
  • Gram negative cocci
  • Spirochaete
  • Fuso-spirillarium
  • Mobiluncus
  • Gardnerella
  • Erythrocytes
  • Leukocytes
  • Epithelial cells
  • Clue cells
  • Brush cells
  • Yeast, Filamentous mycelium

Automatic Reportingt

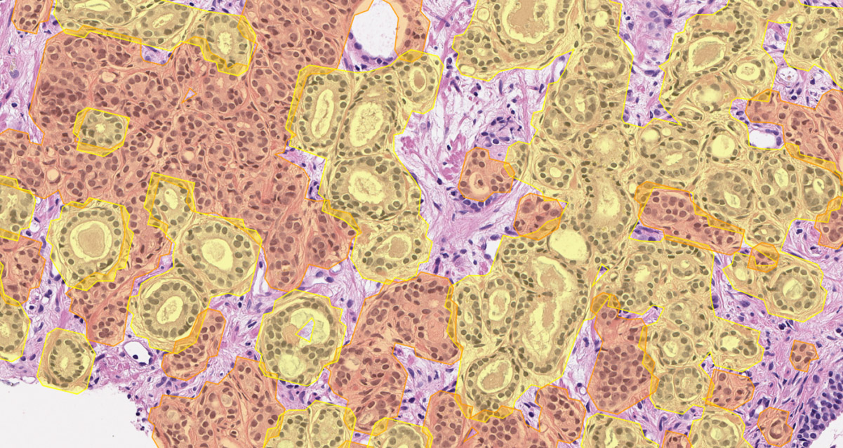
Pre-filled pathology reports are generated once slides are analyzed using DeepDx® Prostate. Clinically significant information included in the pathology report includes:

   •   Gleason scores
   •   Relative proportions of each Gleason pattern
   •   Percentage involvement of cancer in tissue

Quantitative metrics such as tumor-to-tissue ratios and Gleason pattern ratios are recalculated in real-time as annotations are made.

Sample images representative of the cancer found in a slide.

cmTriage

  • Works across all breast densities
  • Works with both mass and calcifications
  • According to the Breast Cancer Surveillance Consortium (BCSC), the average sensitivity of a radiologist
  • is 84.4% and on average they are recalling 9.6% of cases. cmTriage only flags 8.2% of cases at the same sensitivity
  • At the increased default sensitivity of 93%, cmTriage will still only identify 24% of your worklist as
  • suspicious while also potentially catching 1 to 2 more cancers per 1,000 screening cases.

Good-to-aexcellent
reliability

0.88**

Sensitivity

0.87**

Specificity

Benefits of using RBfracture™

Supports trauma
reads 24/7

Improved diagnostic
accuracy

Suggested diagnosis
within seconds

LowDose CT Imaging Study

0.989

ICC

Consistency

3

Suh YJ, Kim C, Lee JG, Oh H, Kang H, Kim YH, Yang DH. Fully automatic coronary calcium scoring in non-ECG-gated low-dose chest CT: comparison with ECG-gated cardiac CT. Eur Radiol. 2023 eb;33(2):1254-1265. doi: 10.1007/s00330-022-09117-3. Epub 2022 Sep 13.

Related products

View all products